We are the Kobow Lab, a dedicated research team led by Katja Kobow, specializing in Molecular Neuropathology at the Department of Neuropathology, Universitätsklinikum Erlangen, Friedrich-Alexander-Universität (FAU) Erlangen, Germany.
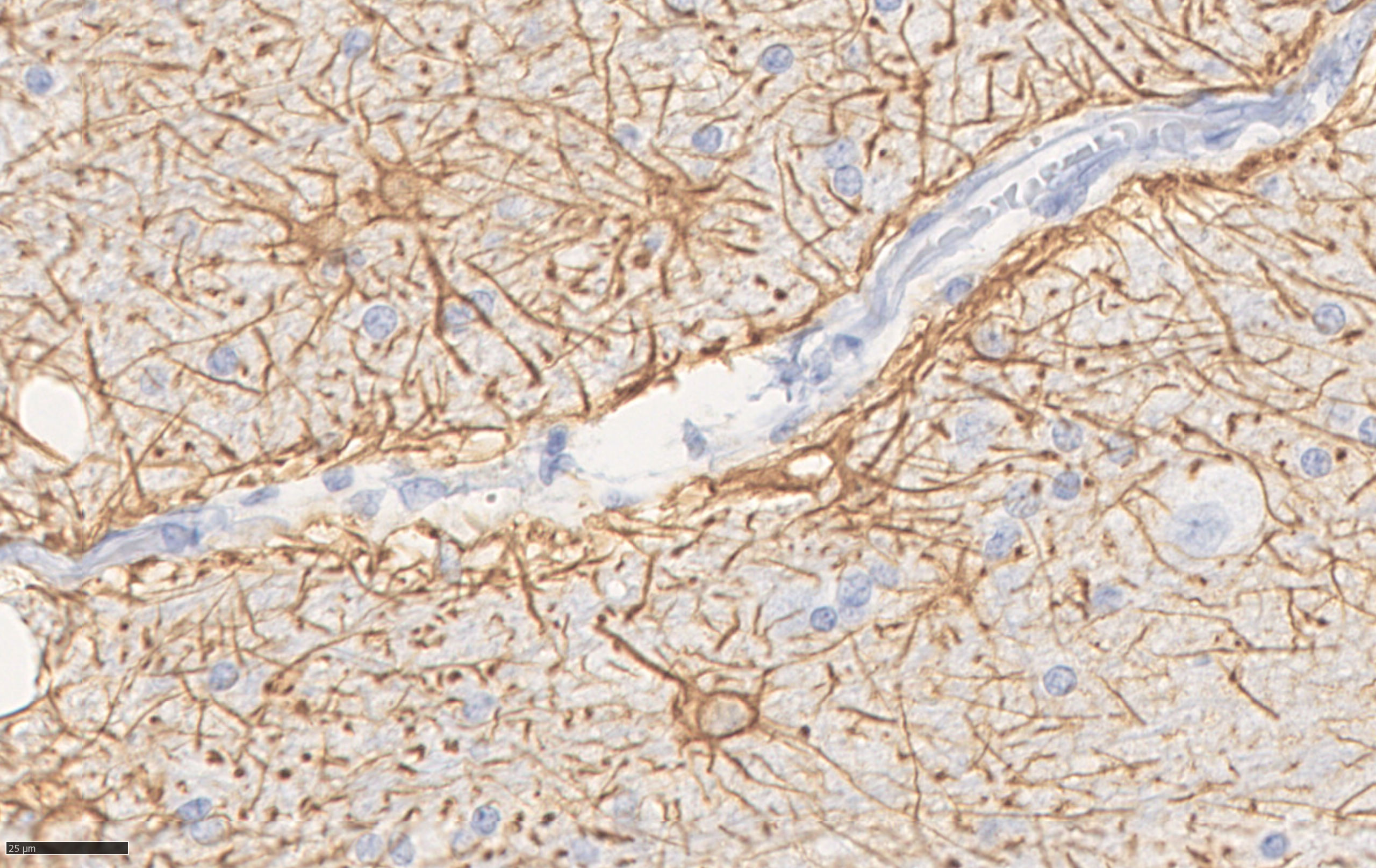
Our work focuses on studying the intricate interplay between epigenetic alterations and the development of epilepsy, specifically in the context of the adult post-mitotic brain. Through our research, we aim to shed light on the role of epigenetic signatures in epilepsy-associated phenotypes and explore their potential as diagnostic and prognostic biomarkers.
We invite you to explore our website and learn about the exciting advancements made by our team members while studying the mysteries of epigenetics in epilepsy and applying this knowledge in molecular neuropathology.
News
On metrics, meaning, and what actually gets done
There seem to be (at least) two fundamentally different ways to approach a career in science. Likely also outside of it. Most people, I guess, recognize both. One is strategic. You choose labs with strong reputations. You aim for specific journals. You plan fellowships, awards, and timelines. You learn how the system works and try…
The long and windy road to publishing
There’s a particular kind of exhaustion that (maybe not only?) we scientists know – the slow unraveling of time between the first spark of an idea and the moment it finally becomes public. What begins as curiosity and excitement often turns into a marathon of experiments, re-analyses, revisions, rejections, rethinking, and rewordings. Each step is…
Resilience, Degeneracy, and Discovery
Just returned from ten intense and inspiring days in Portugal, first at the Workshop On the Neurobiology of EPilepsy (WONOEP) in Cascais, then at the International Epilepsy Congress 2025 in Lisbon. At WONOEP, the big theme this year was the resilient brain and the idea of degeneracy, that means, how multiple pathways can serve similar…
The Kobow Lab
Universitätsklinikum Erlangen
Dept. of Neuropathology
Schwabachanlage 6
91054 Erlangen, Germany
info[at]kobowlab.org
+49 (0) 9131 85-34782
Präsentiert von WordPress










